Santa Maria da Boa Vista faz programação em comemoração ao Dia Mundial de Combate à Tuberculose

por Carlos Britto // 22 de março de 2012 às 19:01

No dia 24 de março é comemorado o dia mundial de combate à tuberculose. Sendo assim, a secretaria de saúde de Santa Maria da Boa Vista (PE), através da coordenação de atenção básica e vigilância em saúde, realizará amanhã (23) uma busca ativa na cadeia pública de sintomáticos respiratórios. Essa iniciativa tem como objetivo o diagnóstico precoce, em uma zona de risco, devido ser considerado um lugar fechado. Haverá avaliação clínica, coleta de exame e atividade educativa sobre a doença com a coordenadora de vigilância em saúde.

Além disso, serão realizadas rodas de conversa sobre tuberculose nas Unidades de saúde na zona rural e urbana.

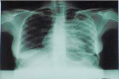
A tuberculose é uma doença infecto-contagiosa causada por uma bactéria que afeta principalmente os pulmões, mas, também pode ocorrer em outros órgãos do corpo, como ossos, rins e meninges (membranas que envolvem o cérebro).  A transmissão é direta, de pessoa a pessoa. O doente expele, ao falar, espirrar ou tossir, pequenas gotas de saliva que contêm o agente infeccioso e podem ser aspiradas por outro indivíduo contaminando-o. (Com informações da Ascom PMSMBV)

Deixe um comentário

O seu endereço de e-mail não será publicado. Campos obrigatórios são marcados com *


Últimos Comentários

  1. Parabéns ao Antonio Marreco pela observação feita a respeito do governo Nilo Coelho escolhido pela ditadura,sempre apoiada pela família Coelho.